我校附属和济医院多学科联合诊疗胃癌肝转移取得新突破

射频消融术
“共克时艰、技术创新”近期我校附属和济医院普外科主任兼肝胆外科主任程丹桂、肝胆外科刘军廷副主任医师,胃肠外科张晋杰、张康康医师,在超声科武鹏副主任通力合作下共同完成了本地区首例 “腹腔镜辅助根治性全胃切除术+D2淋巴结清扫+Roux-en-Y吻合术+左肝射频消融术”。

转化2周期

转化5周期

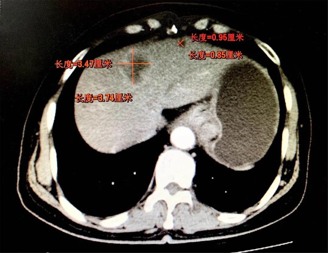
术前
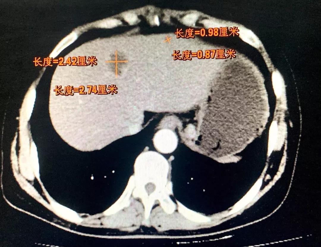
8月前患者就诊于晋城市某医院行胃镜示:胃癌,病理示:腺癌。进一步行腹部增强CT示:贲门胃底小弯侧占位,周围见肿大淋巴结;肝内低密度肿块影,考虑转移。遂就诊于和济医院,入院诊断为:“1.胃癌肝转移(cT4N2M1) 2.肝脏多发囊肿3.原发性高血压(2级,低危组)4.卵巢囊肿切除术后”。经医院消化病中心MDT讨论,并与患者及家属充分沟通后,决定先为其行转化治疗(方案:DOS)。转化治疗2个周期后患者症状明显好转,体重增加约10kg。肿瘤原发病灶较前缩小、肝脏转移灶较前缩小。继续行转化治疗(方案:DOS)3个周期后,患者肿瘤原发病灶较前增大、肝脏转移灶较前继续缩小。经和济医院消化病中心再次MDT讨论并与患者及家属充分沟通后,决定手术治疗。术中胃肠外科张晋杰医师、张康康医师先行腹腔镜辅助根治性全胃切除术+D2淋巴结清扫+Roux-en-Y吻合术,术中邀请肝胆外科主任程丹桂主任医师、刘军廷副主任医师以及超声室武鹏副主任医师行彩超定位下左肝转移病灶射频消融术。术中射频消融在保证对左肝转移病灶精准处理的前提下,对肝脏以最小的创伤,起到最佳的治疗效果,整个手术创伤小,术后第3日开始进流食,5日行上消化道造影提示:未见吻合口瘘。目前患者已恢复正常进食,痊愈出院。

术后1个月复查上腹部CT

术中B超精准定位
该手术的成功开展及患者的顺利康复充分彰显了和济医院普外科亚专业联合诊疗技术取得创新突破,标志着和济医院消化病中心联合诊疗水平又上了一个新的台阶。医院消化病中心将继续努力把“标准化、规范化、个体化”的诊疗理念应用于每一位患者,造福广大人民群众。

(长医附属和济医院供稿)